Newsroom

Find latest news & happenings at our clinic
Liver and Pancreas clinic|Baner,Pune
Sphincter-Preserving Low Rectal Cancer Surgery | Dr. Harshal Rajekar
Dr. Harshal Rajekar, Consultant Hepatobiliary, GI and Liver Transplant Surgeon in Baner, Pune, successfully managed a complex case of low rectal adeno...
Liver and Pancreas clinic|Baner,Pune
Carcinoma Rectum Case | Dr. Harshal Rajekar
Case Summary Case Title: Carcinoma Rectum Final Diagnosis: Adenocarcinoma Rectum, Grade 3, Node Negative (T2N0M0) Patient Profile Age/Sex: 74-year...
Liver and Pancreas clinic|Baner,Pune
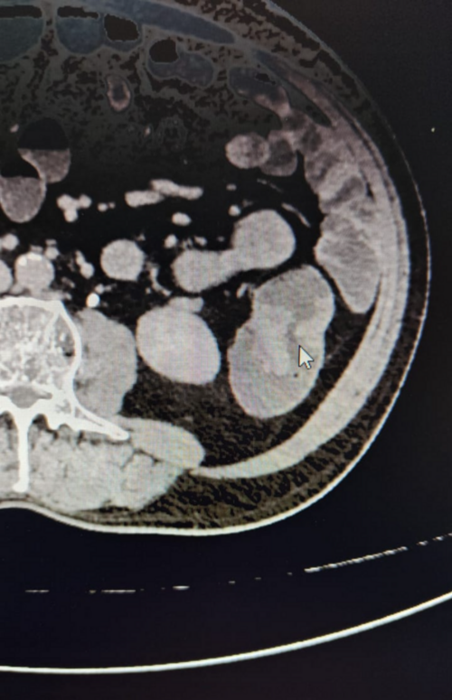
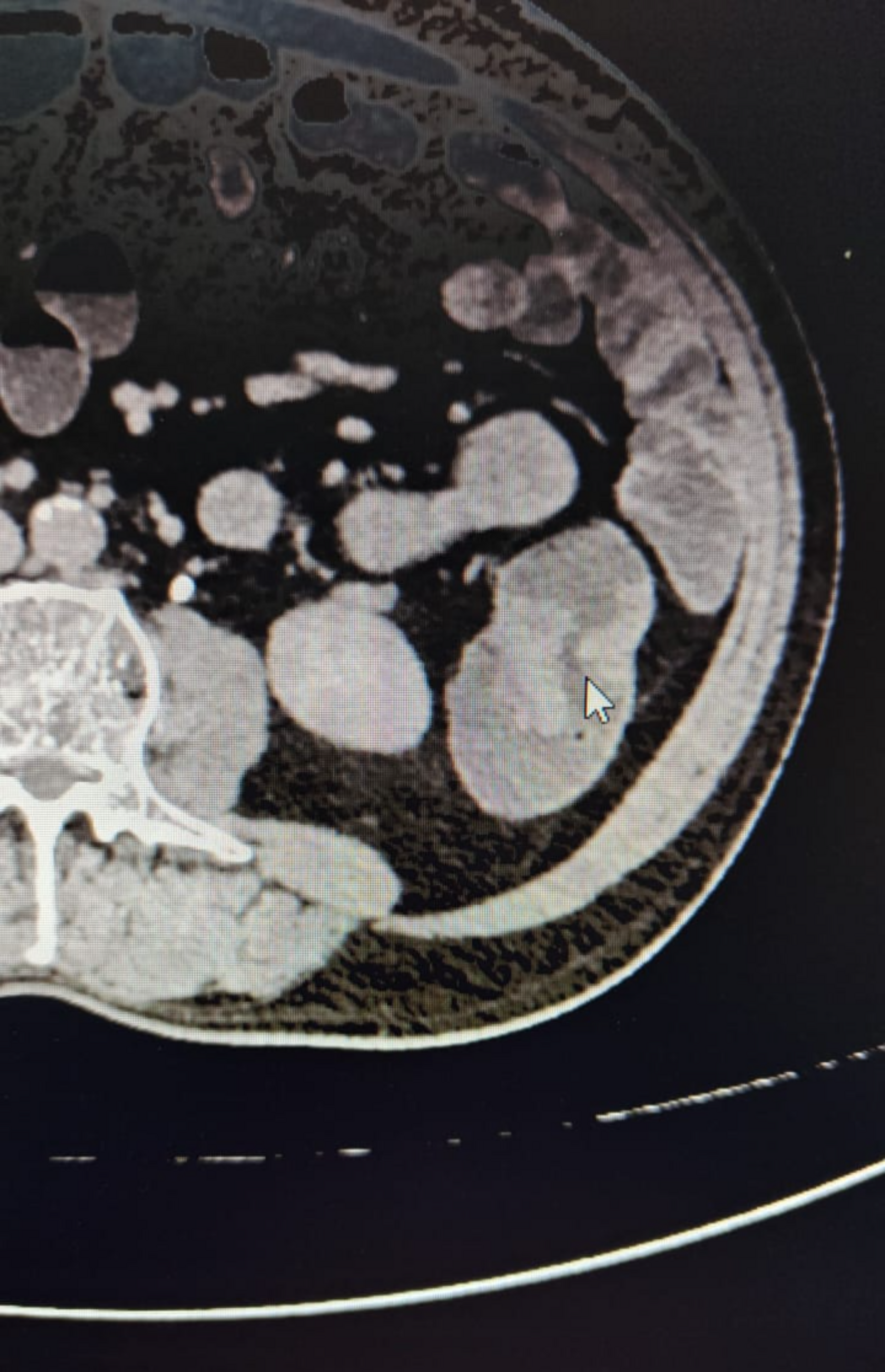
Metachronous Colon Cancer Case | Dr. Harshal Rajekar
Case Title: Metachronous Colon Cancer Final Diagnosis: Moderately Differentiated Adenocarcinoma of Colon (Node Negative, T2N0M0) Patient Profile A...
Chronic Calcific Pancreatitis Case | Dr. Harshal Rajekar
Chronic Calcific Pancreatitis Case | Dr. Harshal Rajekar
Case Summary Case Title: Chronic Calcific Pancreatitis Surgery Performed: Frey’s Procedure (Pancreatic Head Resection with Lateral Pancreaticoj...
Small Bowel Tumor Case Summary | Dr. Harshal Rajekar
Small Bowel Tumor Case Summary | Dr. Harshal Rajekar
Case Summary Case Title: Small Bowel Tumor Final Diagnosis: Pseudotumor / Organized Abscess Patient Profile Age/Sex: 50-year-old male Clinical Pres...
Dr. Harshal Rajekar Awarded Most Trusted Surgeon
Dr. Harshal Rajekar Awarded Most Trusted Surgeon
Dr. Harshal Rajekar, renowned Hepatobiliary, GI, and Liver Transplant Surgeon in Baner, Pune, has been honored with the prestigious title of “Mo...
Dr. Harshal Rajekar Among Top 10 in Maharashtra
Dr. Harshal Rajekar Among Top 10 in Maharashtra
Dr. Harshal Rajekar, a renowned Hepatobiliary, GI, and Liver Transplant Surgeon in Baner, Pune, has been shortlisted by SiliconIndia Magazine for thei...
Liver and Pancreas clinic|Baner,Pune
Dr. Harshal Rajekar Promotes Organ Donation Awareness in Pune
Dr. Harshal Rajekar, a leading Hepatobiliary, GI and Liver Transplant Surgeon in Baner, Pune, actively participated as an expert doctor in the Organ D...
Liver and Pancreas clinic|Baner,Pune
World Liver Day: Dr. Harshal Rajekar on NAFLD Rise
Dr. Harshal Rajekar, Hepatobiliary, GI, and Liver Transplant Surgeon in Baner, Pune, emphasizes that liver damage is no longer limited to alcohol cons...
Liver and Pancreas clinic|Baner,Pune
Dr. Harshal Rajekar: Outlook Best Doctor 2025 Honoree
Warmest congratulations to Dr. Harshal Rajekar, Hepatobiliary, GI, and Liver Transplant Surgeon in Baner, Pune, on being recognized as one of Outlook'...
Liver and Pancreas clinic|Baner,Pune
Dr. Harshal Rajekar Named in Siliconindia Top 10 Doctors of the Year 2024
Dr. Harshal Rajekar, a highly regarded Hepatobiliary, GI, and Liver Transplant Surgeon in Baner, Pune, has been honored by Siliconindia Magazine as on...
Liver and Pancreas clinic|Baner,Pune
Expert Management of Bleeding Duodenal Ulcer: Insights from Dr. Harshal Rajekar
Dr. Harshal Rajekar, an esteemed Hepatobiliary, GI, and Liver Transplant Surgeon, recently treated a challenging case of a bleeding duodenal ulcer. Fo...
?
Ask Question
AboutMyClinic
SmartSite created on AboutMyClinic.com
Site-Help | Disclaimer